
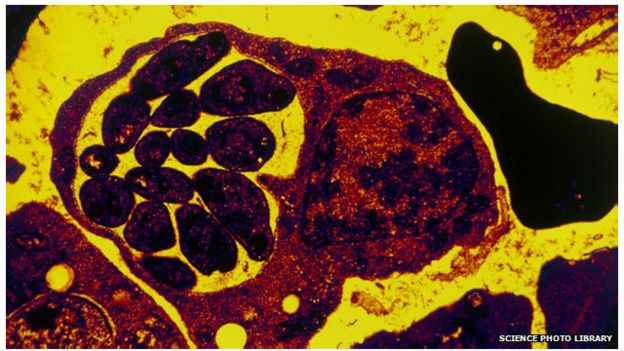
Maisha ya mamilioni ya watu barani Afrika yamo hatarini iwapo aina mpya ya vimelea vya Malaria vinavyopatikana barani Asia vitaenea na kufika barani Afrika.
Watafiti wameonya kuwa vimelea hivyo havisikii dawa aina ya Artemisinin inayotumika kote barani Afrika kutibu Malaria.
University of Dundee
Utafiti huo uliochapishwa katika jarida la watabibu la 'Journal Nature Communications' unaonesha kuwa aina ya mbu anayepatikana Afrika, Anopheles ambaye hulaumiwa kwa kueneza vimelea vya malaria hana kinga yeyote dhidi ya vimelea hivyo hatari.
Watafiti hao kutoka Marekani wameonya kuwa endapo hilo litatokea kwa sababu moja au zaidi basi maisha ya watu wengi haswa watoto yatakuwa hatarini.
none
Daktari Rick Fairhurst, kutoka kituo cha utafiti wa maradhi yanayoambukiza 'National Institute of Allergy and Infectious Disease (NIAID)',nchini Marekani aliyeongoza utafiti huo anasema kuwa anatumai kuwa utafiti huu labda utatoa changamoto kwa utafiti zaidi kufanyika kutafuta mbinu mpya ya kukabiliana na ugonjwa wa Malaria unaoenea mashariki mwa Asia.
Anasema kuwa aina hiyo mpya ya Malaria ilipatikana mara ya kwanza nchini Cambodia mwaka wa 2008, lakini sasa imeenea hadi Mashariki mwa Asia na kuleta maafa makubwa zaidi.
science photo llibrary
Shirika la afya duniani WHO imeonya kuwa iwapo aina hiyo mpya ya malaria itaenea na kuishinda nguvu dawa nambari moja kwa matibabu ya Malaria yaani artemesenin basi maendeleo yaliyopatikana katika kipindi cha miaka 15 iliyopita itatokomea.
WHO ilitoa utafiti ulioonesha kuwa idadi ya vifo vinavyotokana na Malaria imepungua kwa kiasi cha asilimia 60% kote duniani katika kipindi cha miaka 15 iliyopita.